Во револуционерно клиничко испитување, лекарите за прв пат успешно ја излекуваа Хантингтоновата болест, катастрофална наследна болест која постепено ги уништува мозочните клетки. Нова генска терапија го забави напредувањето на болеста за дури 75 проценти кај пациенти три години по третманот, објавува „Гардијан“ .
Болеста, предизвикана од дефект во еден ген, доведува до деменција, парализа и на крајот смрт. Луѓето чии родители ја имаат Хантингтоновата болест имаат 50 проценти шанси да ја наследат, а досега немало лек за да се запре нејзината прогресија.
Револуционерни резултати
Професорката Сара Табризи, директорка на Центарот за Хантингтонови болести при Универзитетскиот колеџ во Лондон (UCL) и главен автор на испитувањето, беше воодушевена. „Сега имаме третман за една од најстрашните болести во светот. Ова е апсолутно огромно. Навистина сум воодушевена“, рече таа.
Ова откритие носи голема надеж во заедницата на болни од Хантингтонова болест, од кои многумина биле сведоци на разорното влијание на болеста врз членовите на нивните семејства. Раните симптоми, кои обично се појавуваат во 30-тите или 40-тите години, вклучуваат промени во расположението, лутина и депресија. Неконтролирани грчеви, деменција и на крајот парализа се развиваат подоцна, а некои пациенти умираат во рок од десет години од дијагнозата.
Лекот, кој го инактивира мутираниот протеин одговорен за болеста, се администрира со една инјекција директно во мозокот за време на сложена хируршка процедура што трае од 12 до 20 часа, што значи дека третманот ќе биде скап. Терапијата се спроведува преку безопасен вирус, модифициран за да внесе специјално дизајнирана нишка на ДНК во невроните. Откако ќе влезе во клетките, оваа ДНК дава инструкции за блокирање на производството на токсичната верзија на протеинот хантингтин.

За да се избегнат несакани ефекти, вирусот се инјектира многу бавно преку микрокатетер во два одделни региони на мозокот. Со новата терапија, пациентите ќе можат да работат и живеат самостојно многу подолго, а исто така се отвора и можноста за спречување на симптомите доколку се примени во рана фаза.
Нова надеж за илјадници пациенти
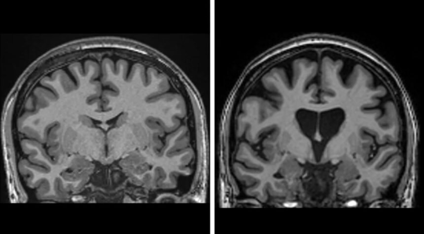
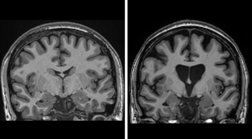
Резултатите од испитувањето, во кое беа вклучени 29 пациенти во Велика Британија и САД, беа објавени од uniQure. Три години по третманот, пациентите кои ја примиле високата доза на лекот покажале просечно 75 проценти побавно напредување на болеста, мерено со тестови за моторна функција, когниција и способност за извршување дневни активности. Наодите, исто така, покажаа значително пониски нивоа на неврофиламенти, маркер за клеточна смрт, што укажува на заштита на невроните.
„Неверојатно сме возбудени поради овие прелиминарни резултати и што тие би можеле да значат за поединците и семејствата погодени од Хантингтонова болест“, рече Валид Аби-Сааб, главен медицински директор на uniQure, додавајќи дека се надеваат дека ќе поднесат барање за одобрување во САД на почетокот на следната година.
