Средовечен службеник од кинескиот град Чунгкинг, чие име не е објавено, неодамна бил примен во локална болница со интензивна кашлица.
На лекарите им рекол дека состојбата му се влошила, иако земал сируп и дека белките од очите му поцрвенеле, пренесува Oddity Central.
Лоша навика
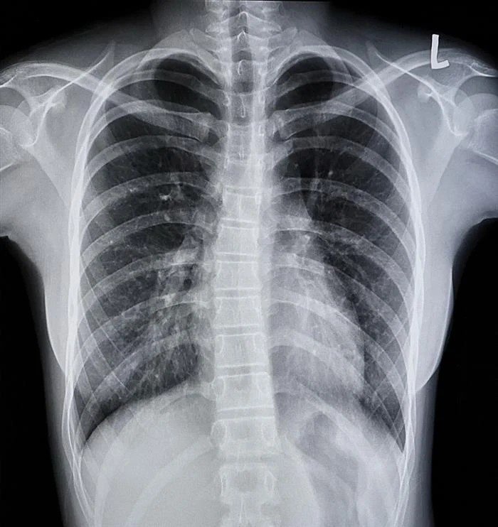
По прегледот и снимањето, на десното белодробно крило биле пронајдени „сомнителни сенки“, а последователната бронхоскопија покажала дека боледува од инфекција предизвикана од габата Aspergillus.
Можна причина за болеста беше утврдена за време на следниот преглед.
Имено, мажот имал бизарна навика да ги мириса чорапите кои ги носел во текот на денот пред да ги стави во машината за перење.

Што покажала анализата?
Медицинските експерти зеле пар чорапи и ги анализирале. Потоа пронашле траги од габа Aspergillus.
Носените чорапи апсорбираат пот, сол и други материи, додека топлата и влажна средина во чевлите го поттикнува растот на габите.
Нивните спори може да завршат во вашите бели дробови доколку редовно ги мирисате и предизвикуваат долготрајни ефекти, предупредуваат лекарите.
